
浙江杭州的张先生,平素身体一直不错。半年前,在工作时无意中发现右上腹部似乎有些隆起。起初,因为没有明显的痛感,加上工作繁忙,他并没有把这个小细节放在心上。
然而,这个肿块并没有因为他的忽视而停止生长。相反,它像一个被不断充气的气球,以肉眼可见的速度迅速膨胀。“它长得太快了,像吹气球一样。”张先生后来回忆道。
身体的警钟终于敲响。在当地医院检查后,面对如此复杂的巨大肿瘤,医生建议他寻求更高水平的医疗帮助。于是,张先生慕名从浙江赶赴上海,来到了瑞金医院嘉定院区。
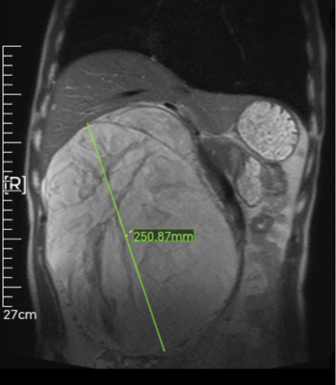
泌尿外科陆国梁副主任医师接诊后深知,这将是一场硬仗。影像显示:张先生右侧腹腔内,长出了一个直径约25cm的巨大肿瘤。它几乎占据了整个腹腔,体积堪比一只篮球。

但这还不是最可怕的。真正让医生们捏一把汗的是肿瘤的“邻居”关系。这颗巨大的“肉球”不仅侵犯了张先生的右侧肾脏,还极其霸道地将肝脏向上推移,十二指肠、胰腺等重要器官全部推压到了左侧腹腔。原本管状的下腔静脉(人体最大的静脉血管),被硬生生压成了扁平的直线状。更危险的是,肿瘤表面血管怒张,血供极其丰富。
这意味着,如果直接进行手术,稍有不慎,就可能引发难以控制的大出血;如果不手术,肿瘤的持续消耗已经导致张先生出现了中度贫血和低蛋白血症,生命岌岌可危。手术难度极大,但这是张先生唯一的生路。泌尿外科邵远主任医师在组织多学科讨论(MDT)时对围手术期的注意事项提出了针对性的意见与指导。
3月2日,一场由泌尿外科、普外科、麻醉科、手术室护理团队组成的“拆弹小组”开始了手术。手术由陆国樑医生主刀,联合普外科严晓伟医生,以及黄宝星、阮小豪医生组成的助手团队,站在了手术台前。面对这样一个“巨无霸”,常规的单一手术方式很难奏效。团队决定采用一种极具策略性的“前后合击”战术:
手术团队首先让患者侧卧,采用微创腹腔镜的方式,从后方入路,精准地分离出肾脏的背侧面,并预先离断了右肾动脉,这一步阻断了肿瘤的主要供血来源,为后续切除避免了大出血的风险。随后,团队将患者改为平卧位,从前方切开腹腔。当切口打开的那一刻,所有人都倒吸了一口凉气:巨大的球形肿瘤映入眼帘,原本应该在右侧的器官全被挤到了左边。
手术最后阶段,手术团队需要在不损伤周围器官的前提下,小心翼翼地分离肿瘤。他们首先将十二指肠和结肠从肿瘤表面剥离,然后一边分离肿瘤汇入下腔静脉的丰富供应血管,一边将肿瘤从扁平的下腔静脉表面一点点地“抬”起来。
这是一个极度考验耐心和默契的过程。每一步操作都必须毫厘不差,因为任何一点失误,都可能划破那根被压扁的下腔静脉,导致大出血。

得益于前期精准的微创阻断,术中出血量被控制在了极低的水平。历时4个小时的惊心动魄,这颗“大如盆”的肿瘤终于被完整地从腹腔中取出。而张先生,也无需前往重症监护室,直接被送回了普通病房,术后病理提示,这是一例腹膜后肉瘤。张先生不久后就顺利康复出院。
张先生的例子给我们所有人提了一个醒:身体是不会撒谎的。当它发出异样的信号(如不明原因的腹部隆起、持续的胀痛),请务必及时就医,不要让小问题拖成大麻烦。
供 稿丨泌尿外科(嘉定院区)
文 编丨温兆琦