对很多患者来说,最难熬的不是疼,而是“疼了很久,却始终说不清为什么疼”。
钱先生的情况正是如此。近两年来,他在没有明显诱因的情况下,反复出现中上腹疼痛,以钝痛为主,休息后稍有缓解。这样的症状,很容易让人下意识地把它归到胃病、消化不良一类常见问题里。
但问题在于,这种疼痛已经持续了太久。
两年里,他去过多家医院,做过相关检查,也接受过相应治疗,却始终没有找到真正的病因。而在瑞金医院太仓分院消化内科门诊接诊时,龚淞楠医生并没有被“老毛病”这样的表象带过去。
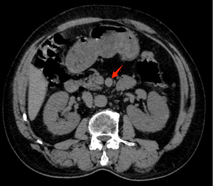
在认真查看既往检查结果和治疗经过后,龚医生建议钱先生先做一个腹部平扫CT。15:50,钱先生完成检查。很快,放射科医生钱许钧在初步阅片时,发现了一个值得警惕的细节:肠系膜上动脉有点增粗。就是这一眼,让事情开始朝着完全不同的方向发展。

影像上的异常并不总是直接给出答案,但一个经验丰富的医生,往往能从这些“不太对劲”的信号里捕捉到真正的问题。
肠系膜上动脉,是供应肠道血流的重要血管。它一旦出现病变,带来的后果绝不是普通消化道不适那么简单。基于初步阅片结果,放射科建议患者尽快进一步完善腹部血管CTA检查。
这时,结合患者反复腹痛两年的病史和CT上的异常线索,龚淞楠医生高度怀疑:钱先生这次的问题,可能并不是胃肠本身,而是血管病变。向患者充分解释病情及进一步检查的必要性后,钱先生同意继续检查。
17:03,腹部血管CTA完成。很快,初步结果出来了——考虑肠系膜上动脉夹层动脉瘤形成。那一刻,这场困扰了钱先生整整两年的“胃痛”,终于被揭开了真相。


很多人对这类疾病并不熟悉,但对医生来说,这已经是一个必须争分夺秒处理的信号。因为肠系膜上动脉一旦发生夹层并形成动脉瘤,潜在风险很高,如果不及时治疗,动脉瘤可能会破裂,引发剧烈腹痛、大量出血,甚至危及生命。
接到消息后,执行院长杨之涛紧急联系瑞金医院嘉定院区急诊科团队及血管外科团队做好接诊准备,嘉定院区与太仓分院之间的绿色通道同步开启。
19:30,龚淞楠医生陪同患者及家属抵达嘉定院区急诊,并顺利完成交接。患者当时整体病情稳定,当晚入住血管外科,接受进一步评估和治疗。在排除相关禁忌后,11月4日,血管外科孙羽东副主任医师为患者实施了肠系膜上动脉夹层腔内隔绝+假腔栓塞术。
手术顺利完成。三天后,钱先生顺利出院。


从瑞金太仓分院消化内科门诊接诊,到放射科发现异常;从危急值应急处置预案启动,到两院区绿色通道开启——几小时内完成的,不只是一次患者转运,更是一场多学科、跨院区高效衔接的生命接力。钱先生是幸运的,而这种“幸运”背后,是瑞金医院的专业和责任。
医生提醒,长期反复、久查未明的腹痛,不一定只是“胃不好”。有些危险,恰恰藏在那些看起来“不像大病”的症状里。
编辑:张子晴