我的位置: 上观号 > 上海市同仁医院 > 文章详情

【同仁服务】风湿免疫科新开“风湿病与间质性肺炎”专病门诊

转自:上海市同仁医院 2026-01-08 17:15:26

风湿免疫科新开

“风湿病与间质性肺炎”

专病门诊!

风湿免疫科自2026.1.9起,每周五下午新开“风湿病与间质性肺炎”专病门诊,由科室医生轮流坐诊,通过检测血液标志物、肺CT和肺功能,早期发现风湿病间质性肺炎,评估病情活动度,予以激素、免疫抑制剂、抗肺纤维化药物治疗。

注:周五下午没有风湿免疫科普通门诊,需看风湿免疫科的其他病人也可以挂本专病门诊的号就诊。

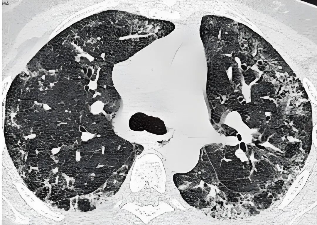
结缔组织病相关间质性肺病

CTD-ILD

风湿免疫性疾病中,绝大部分系统性风湿免疫病均可导致肺间质病变,此类疾病统称为“结缔组织病相关间质性肺病”,英文缩写为CTD-ILD。在结缔组织病中,硬皮病、类风湿关节炎、干燥综合征、肌炎、皮肌炎、系统性红斑狼疮以及血管炎等疾病均可引发肺间质病变,因此风湿免疫性疾病导致的肺间质病变不容忽视。

CTD-ILD 患者往往存在长期咳嗽,进行性胸闷气急,无法耐受中重度运动等等不良情况,患者的预后与生活质量明显下降。

既往“缺医少药”令治疗举步维艰;如今药物可及性已有所改善,却仍因认识不足、筛查缺位而难以早诊早防。其诊疗跨越风湿、呼吸、影像、康复等多学科,唯有建立常态化协作机制,才能将干预窗口前移,真正改善患者结局。本专病门诊希望通过更专业的诊治,给患者带来更好的生活质量,欢迎有困扰的患者朋友来就诊。

A

专家介绍

刘彧,医学博士、主任医师,上海交通大学医学院附属同仁医院风湿免疫科行政主任。上海市医学会风湿病学分会委员,上海市医师协会风湿免疫科医师分会委员,上海市中西医结合学会风湿病专业委员会委员。

医疗特长:

1、疑难风湿病、不明原因发热的诊治;

2、急慢性关节炎的诊治;

3、骨质疏松的诊治。

B

门诊时间

供稿:邵   冲

审核:刘   彧

校审:戴   云

预约就诊请关注公众号:

(配图源自网络,如有侵权请通知删除)

TONGREN HOSPITAL

上海交通大学医学院附属同仁医院

欢迎关注同仁医院官方微信服务