目前,寒潮蓝色预警生效中!
天气预报显示,
今天(12月13日)上午
强冷空气开始影响上海,
阴到多云有短时小雨,
全天气温在7℃-10℃之间。
明天(12月14日)天气转晴,
但气温低迷,
早间市区最低气温仅有1℃,
郊区零下2℃到0℃,有薄冰。
下周一早上市区最低气温在2℃左右,
郊区可达零下4℃到零下3℃,有冰冻。

降温天
泡个澡、蒸个桑拿
别提多惬意了!
但你知道吗?
秋冬季节,
舒适度拉满的背后或藏着“隐形杀手”
——热射病!

“我接诊过冬天泡温泉后昏迷就医的热射病患者。”近日,福建中医药大学附属第三人民医院急诊科副主任吴文思介绍,该患者在温泉池中长时间浸泡,出现头晕、乏力直至昏迷,经诊断正是热射病。

热射病作为最严重的中暑类型,是人体在高温、高湿环境下,因体温调节功能失衡,产热大于散热,导致核心温度迅速升高(通常超过40℃),并伴有谵妄、抽搐、昏迷等意识障碍及多器官功能损伤的致命性疾病。
“热射病的本质是身体产生的热量,远远超过了它能散发的热量,导致热量在体内蓄积,与季节无绝对关系。”吴文思解释,“秋冬天虽然室外环境温度低,但在一些特殊情况下,人体的产热和散热平衡同样会被打破。”
浙江杭州韩大爷(化名)喜欢冬天蒸桑拿。2024年12月某日,他前往洗浴中心蒸桑拿,刚进去没多久就昏倒并口吐白沫,周围人赶忙拨打了120,将其紧急送医。

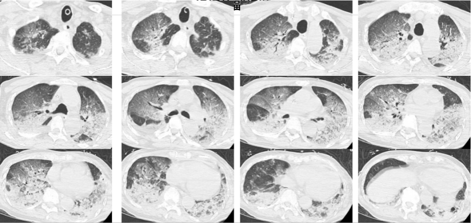
据了解,韩大爷入院时已经意识不清,血压下降,心率降到30次/分,氧饱和度只有80%-90%。医生检查后发现,韩大爷的双肺出现了大面积白色影像。经会诊,他被确诊为热射病诱发的肺水肿。
医生介绍,在桑拿房这种高温、高湿的环境下,人体皮肤散热困难,汗液无法正常排出,体内热量大量积聚继而引发热射病。热射病会致患者脱水,而脱水将导致患者血压下降,还会对心肌造成损害,易出现急性心衰。一旦心脏的泵血功能出现问题,大量血液就会淤积在肺部血管,进而引发肺水肿,导致双肺变白。
密闭的暖气房、温泉池或汗蒸室:

若长时间处于温暖且不通风的环境中,体温调节能力较弱、对温度不敏感人群可能在无意识状态下脱水,出现隐性体温升高,伴随头痛、恶心、乏力等早期信号,进而诱发热射病。
穿着过紧衣物进行高强度运动:

秋冬天进行剧烈运动(如马拉松、高强度健身房训练)时,人体产生的热量会剧增。若穿着过于厚重、透气性差的衣物,汗水无法蒸发,在体表形成“保温层”,会严重阻碍散热。运动结束后,若未能及时擦干汗水、更换干爽衣物,且继续停留在温度较高的室内,患热射病的风险同样会显著上升。
控制时间
每次泡温泉或蒸桑拿的时间不宜超过15-20分钟,适当休息后再继续。
及时补水

高温环境下身体容易脱水,多喝温水,避免饮酒和含糖饮料。
注意通风

选择通风良好的温泉池,避免在密闭空间中长时间停留。
注意身体信号
如果感到不适,立即停止,不要勉强自己。
特殊人群需谨慎
老年人、儿童、孕妇及有心脑血管疾病的人群,更应注意控制时间和温度。
脱离环境
迅速让患者脱离高温、高湿环境,将其转移至通风阴凉处。
持续降温
持续对患者采取降温措施,如冷水擦拭皮肤、冰敷等。
防止误吸
当患者陷入昏迷,应将其头偏向一侧,保持呼吸道通畅,及时清除气道内分泌物,防止误吸。
对于热射病,
你了解了吗?
赶紧分享给身边人~
申工社综合整理自央视新闻、大众卫生报、国家应急广播等
本期编辑:狄佳倩
转载需注明出处