在泌尿外科领域,同时处理输尿管结石、肾积水、感染、膀胱结石及前列腺增生是一项复杂的挑战,尤其当患者年事已高,对手术耐受性差时,风险更是成倍增加。一次性解决所有问题固然理想,但采取‘分步走’的策略有时更为安全、稳妥。 近日,奉贤区中医医院泌尿外科成功为一位患有复杂泌尿系统疾病的77岁男性患者实施分期微创手术治疗。患者同时存在右侧输尿管结石伴积水感染、膀胱结石和前列腺增生等多种疾病,经过精心治疗已康复出院。
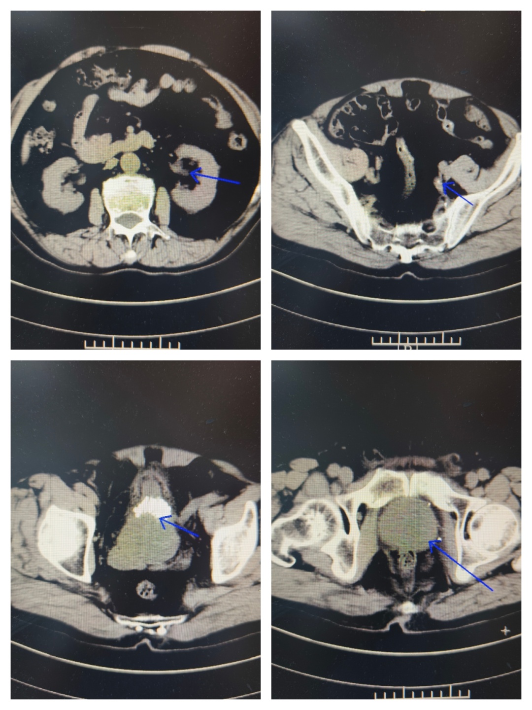
病情介绍 患者张先生(化名),77岁,因“尿频、尿急、尿痛伴血尿1天”来我院急诊。患者痛苦面容,自觉排尿困难且伴有肉眼可见的红色尿液,严重影响生活质量。 经检查发现,患者存在以下泌尿系统问题: 1.右侧输尿管结石伴有肾积水和感染 2.膀胱多发结石 3.前列腺增生 这些疾病相互影响,形成恶性循环:前列腺增生导致排尿不畅,尿液滞留形成膀胱结石;膀胱结石又可能堵塞尿道出口,加重排尿困难;而输尿管结石则阻碍尿液从肾脏排出,引起肾积水和感染,严重时可能影响肾功能甚至导致败血症。 治疗过程 面对这一复杂情况,区中医医院泌尿外科团队制定分期手术方案,确保治疗安全有效: 第一期手术:急诊处理,解除危机 手术名称:经尿道输尿管镜下膀胱结石钬激光碎石取石术+右侧输尿管支架置入术(双J管置入) 手术目的: 1.解除感染隐患:置入输尿管支架管,能立即疏通梗阻的右侧输尿管,引流出淤积的感染尿液,迅速控制感染,保护肾功能。 2.清除膀胱结石:同时处理已存在的膀胱结石,缓解部分下尿路症状。 此次手术快速、微创,核心目标是“控制感染、引流减压”,为后续根治性手术创造安全的身体条件和手术窗口期。 第二期手术:根治性处理,经过近两周的抗感染治疗和身体恢复,患者一般情况显著改善。 手术名称:经尿道右侧输尿管镜钬激光碎石取石术+前列腺电切术(TURP)+经尿道右侧输尿管支架置换术 手术目的: 1.粉碎输尿管结石:在支架管引导下,精准粉碎并取出造成梗阻的“元凶”——右侧输尿管结石。 2.切除前列腺:彻底切除增生的前列腺组织,从根源上解除下尿路梗阻,预防结石复发。 3.更换支架:确保输尿管通畅愈合。此次手术一举解决了所有根本性问题。 术后恢复 术后患者恢复顺利: 1.血尿、尿痛等症状消失。 2.困扰已久的尿频、尿急、夜尿增多等症状得到极大改善。 3.复查尿流率检查,结果完全恢复正常。 4.患者对治疗效果非常满意,由衷感谢我科团队精湛的技术和负责任的决策。 此次手术的成功,体现区中医医院处理复杂高危病例的丰富经验和先进理念: 1.精准决策:不盲目追求“一刀切”,而是根据“轻重缓急”原则,制定个体化的分期治疗方案。先解决急性、危及生命的问题(感染梗阻),再处理慢性、根源性问题(结石、前列腺增生),最大程度保障了患者安全。 2.技术的保障:两次手术均采用经尿道的微创方式,利用输尿管镜、电切镜等先进设备,体表无切口,创伤小,恢复快,非常适合高龄患者。 3.围术期管理:完善的术前准备、术中的麻醉配合、细致的术后护理,是患者能够平稳度过两次手术、顺利康复的坚实基础。 奉贤区中医医院 泌尿外科团队 专家提醒,老年男性出现以下症状时应及时就医: ·尿频、尿急、夜尿增多 ·排尿困难、尿流变细 ·血尿 ·腰背部疼痛 早期诊断和合理治疗能够有效保护肾功能,提高生活质量。我院泌尿外科在此类复杂泌尿系统疾病的微创治疗方面积累了丰富经验,为众多患者解除病痛。 王志伟 副主任医师 泌尿外科王志伟副主任医师,毕业于南昌大学医学院,医学硕士。2017年至上海长海医院泌尿外科进修学习、2022年至南昌大学第二附属医院泌尿外科进修学习。获2020年度医院十大好医生、医院优秀员工。主持完成市级科研课题2项,参与完成省级科研课题1项,两篇论文获得市级科协优秀学术论文二等奖。 擅长泌尿系统结石微创治疗,输尿管镜碎石取石术,电子输尿管软镜钬激光碎石负压取石术,彩超引导下经皮肾镜碎石取石术,泌尿系统感染的综合治疗,彩超引导下经会阴前列腺穿刺活检,前列腺增生微创手术,肾囊肿、肾肿瘤及前列腺肿瘤、膀胱肿瘤等泌尿系统肿瘤的诊治及微创手术治疗,及男性生殖相关疾病的诊治。 门诊时间 泌尿专科门诊: 周一全天,周二、周四、周五上午 王志伟副主任医师专家门诊: 周一上午、周三全天 便民咨询电话:57420861-8074





报送:区卫生健康委(沈群)、区中医医院(唐晓燕)
编辑:王鹏
• end •
往期精彩回顾
区规划资源局全力助推上海应用技术大学奉贤校区四期工程加速建设
奉城萌娃的这场红色研学超有料!
史上最长假期来了!居然有9天!
沪乡锣鼓敲响全国,贤城故事荣膺“群星”!奉贤锣鼓书《房东来了》斩获国家级“群星奖”实现“零的突破”
34个岗位,月薪最高20000元!金汇这场招聘会不容错过→