
HEALTHY
“肺”凡康复之路:助力“呼吸”新生
呼吸,这本是人体最自然不过的生理活动,然而,对于众多深受呼吸系统疾病困扰的人而言,却宛如一种沉重的负担。上海市儿童医院泸定路院区呼吸康复门诊为患儿提供有效改善呼吸功能、增强体力、减轻呼吸困难症状的医疗手段,给慢性肺部疾病患儿带来了康复的新希望。
2024年9月,上海市儿童医院泸定路呼吸康复门诊,来了一位出院1周的患儿,小杰。回溯两周前,小杰因出现“高热、咳嗽”等症状,在呼吸科门诊以“肺炎”被收治住院。住院期间,完善检查后,小杰最终被确诊为“重症肺炎支原体肺炎”。经过一周的精心治疗,小杰顺利出院!
此次前来呼吸康复门诊,小杰妈妈向呼吸专科医生反映:“小杰出院后倒是不再发热了,但咳嗽的时候还是带痰,而且活动起来明显比以前吃力多了。”

图1:医护人员指导小杰进行呼吸功能锻炼
呼吸康复门诊的呼吸专科医生、康复医生、呼吸专科护士共同查阅了小杰近期的肺功能报告和胸部影像。呼吸专科医生对小杰进行了的呼吸肌力、六分钟步行试验等评估,并向小杰妈妈耐心解释道:“小杰的肺部经历了一场重病,要让肺功能恢复到正常状态,还需要借助康复训练来达成。”随后,呼吸专科医生和康复科医生共同为小杰制定了一套详细的呼吸康复训练方案,呼吸专科护士具体指导小杰学习训练方案中的缩唇腹式呼吸、三球式呼吸训练器的使用、有效咳嗽方法以及体位引流等内容(如图1所示),并定期使用微信沟通督查训练。一个月后,小杰再次来到呼吸康复门诊进行随访,令人欣慰的是,小杰的各项肺功能指标以及胸部影像较之前都有了明显的好转(如图2、图3所示)

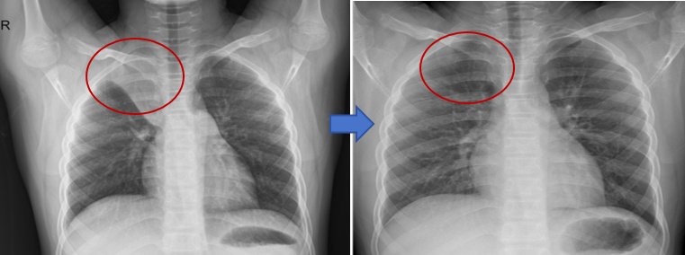
图2:小杰住院前后胸片对比图

图3:小杰康复前后肺功能报告
上海市儿童医院呼吸康复MDT门诊由跨学科团队组成,包括呼吸科医生、康复科医生、呼吸专科护士等。呼吸科专科医生及康复医生可通过全面的评估制定个体化的治疗方案,专科护士指导进行呼吸功能锻炼。开展包括呼吸功能锻炼、全身运动锻炼、气道廓清方法应用等一系列呼吸康复技术。除了专业的治疗技术外,我们还注重患者的健康教育和心理支持。在治疗过程中,医生会详细解释病情、治疗方法及注意事项,并指导患儿进行科学的康复锻炼和日常练习。全方位的治疗模式,打造属于你的“肺凡”康复之路!
呼吸康复MDT门诊时间:每周三下午
呼吸康复MDT门诊地点:上海市儿童医院泸定路门诊两楼A区