我的位置: 上观号 > 上海静安 > 文章详情

心脏支架会“吸收”?市中医医院成功完成首例生物可吸收支架植入术

转自:上海静安 2024-01-11 13:29:21

提到“心脏支架”,大多数人并不陌生,这是治疗冠心病的一种方式,但很多年轻的冠心病患者既想治病,又不愿意体内留下异物,经常在接受治疗时犹豫不决,从而导致病情耽误。

近日,上海市中医医院成功完成首例“生物可吸收支架(BRS)”植入手术,该项手术的成功开展标志着医院心血管内科在冠脉“介入无植入”标志性新技术上迈出关键一步,也为需要接受心脏介入治疗的患者提供了更完备的选择。

33岁的王先生(化名)是一名IT工作人员,平时工作忙碌,常常熬夜加班,近10天心绞痛反复发作,当地冠脉CT提示有明显狭窄,但王先生担心年纪轻轻就放了支架,会给今后的生活带来不便,产生了严重的思想负担。随后四处打听,寻求无支架治疗技术,慕名到赵军礼主任门诊就诊。赵军礼主任结合其冠脉病变存在可吸收支架植入指征,与其充分沟通后,决定为王先生植入生物可吸收支架。

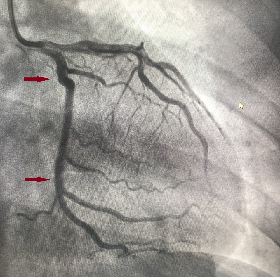
箭头处可见狭窄80%

术中赵军礼主任带领介入团队严格遵循操作规范,使用切割球囊、非顺应性球囊对靶病变进行充分预处理,准确测量靶血管直径。造影显示患者病变较长,需要串联植入2枚BRS才能完全覆盖病变,但BRS支架梁较厚,串联植入既不能重叠,又不能留有空隙,与传统的药物洗脱支架植入要求完全不同,故技术难度较大。

介入团队成员经深思熟虑,制定手术策略后,选择合适尺寸的支架并精准定位后,顺利串联植入可吸收支架。术后王先生心绞痛的症状明显缓解。

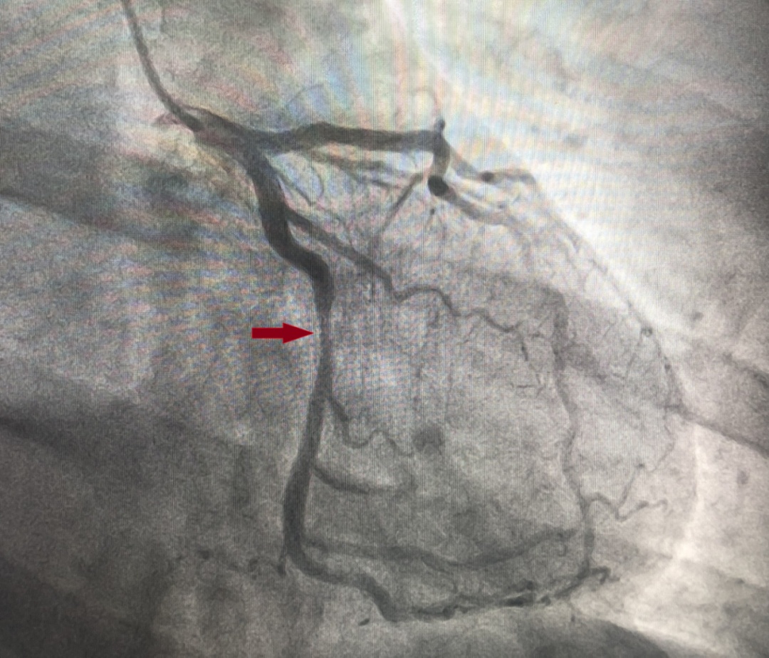
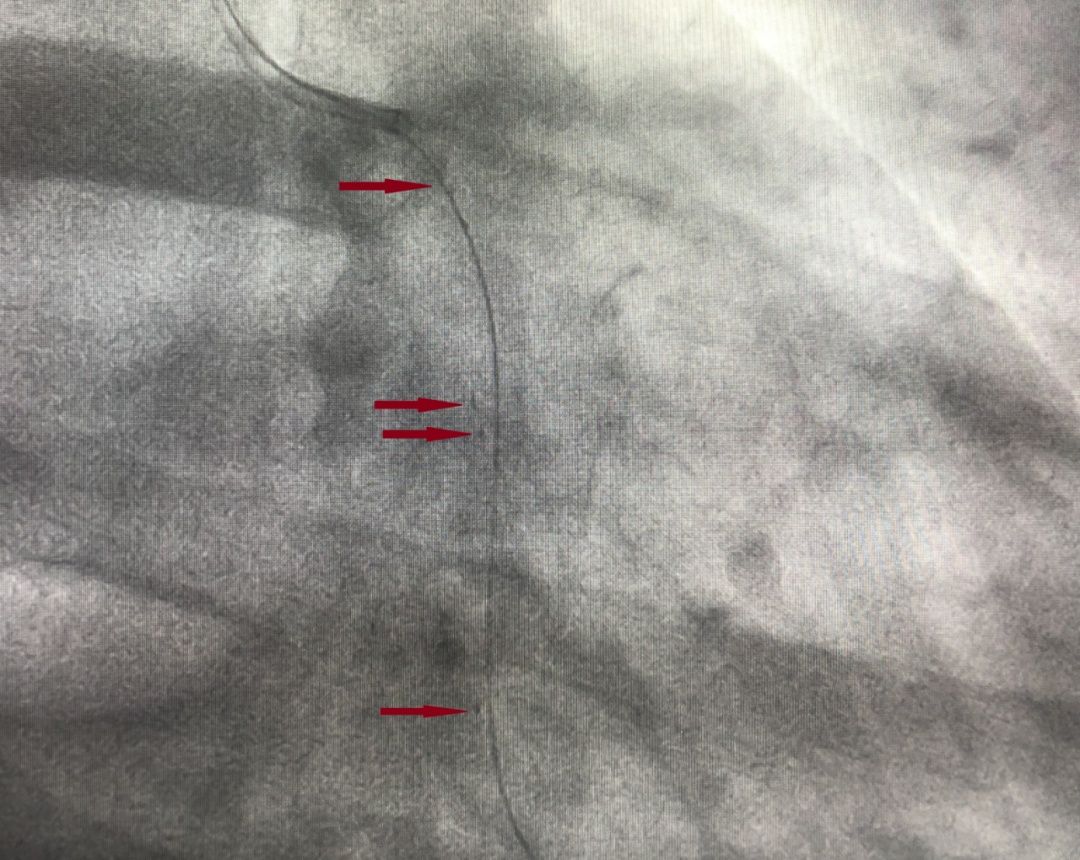
红色箭头处可见BRS两侧的铂金Marker;串联(头尾相连但无重叠)植入2枚支架

可吸收支架

赵军礼介绍,生物可吸收支架采用的是左旋聚乳酸,在植入体内后,通过3年左右的降解期,可全部降解为对人体无毒无害的水和二氧化碳,最终完全排出体外,避免了金属支架植入后,因永久存留体内远期可能带来支架内再狭窄或血栓的风险,让冠脉重获新生。

此外,"BRS"避免了金属植入物永久存留体内带来的远期安全性问题;解决了部分患者对于金属支架存在的过敏反应、排斥金属异物存留体内的心理障碍等;血管也可恢复其正常的舒缩功能,同时,患者可安全进行核磁和CT检查。

赵军礼提醒,做生物可吸收支架植入手术之前需要进行严格评估,根据患者个体情况进行仔细考虑和选择。