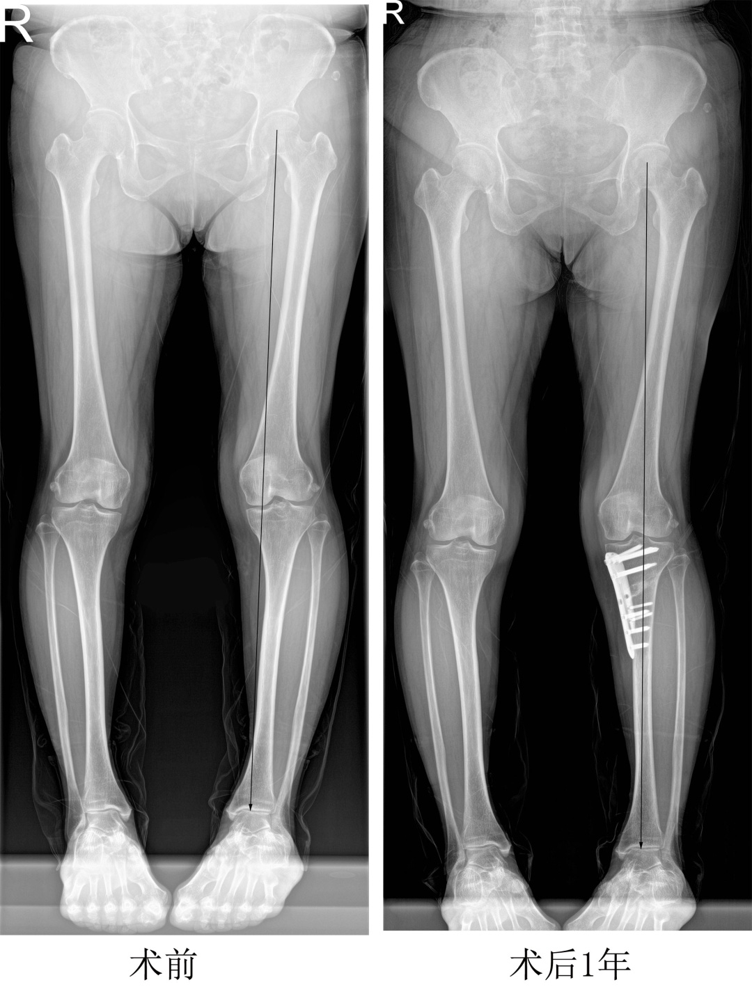
近日,67岁的徐阿姨来到同济大学附属同济医院运动医学科、骨关节外科中心复诊,她的左膝关节已无明显疼痛,膝关节活动已恢复正常。回想起去年这个时候,徐阿姨正饱受左膝关节疼痛不适的折磨。当时经家人介绍,她找到了同济大学附属同济医院运动医学科、骨关节外科中心主任程飚。程飚通过病史询问、查体及相关检查认为徐阿姨左膝关节痛、左膝关节退行性变是由于左下肢力线不良引起,建议行胫骨高位截骨术矫正下肢力线,将下肢力线从发生炎症和磨损的内侧间室转移到相对正常的膝关节外侧间室,减低内侧间室的压力,有效地阻止软骨的磨损,缓解膝关节疼痛症状。

在完善术前检查及相关术前准备后,程飚及其团队于去年11月为徐阿姨进行了关节镜下清理联合胫骨高位截骨术,手术非常成功,徐阿姨的左下肢力线得以有效矫正,左膝关节的疼痛和不适得到明显改善。

什么是胫骨高位截骨术?
(High Tibial Osteotomy, HTO)
胫骨高位截骨术是指通过在胫骨近端进行高位截骨,将下肢力线从膝关节内侧间室转移到正常的膝关节外侧间室,从而达到缓解关节疼痛、减轻关节炎症状并延长膝关节寿命的目的。
HTO治疗膝关节骨性关节炎存在哪些优势?
HTO可以实现在“保膝”的基础上保证“换膝”也不受影响,是膝关节“阶梯性治疗”中是一种较好的选择。
定制化手术,真正做到“精准医疗”,可根据患者膝关节炎发展的不同阶段、畸形的程度、年龄和功能需求等多方面的因素提供不同的手术方式。
随着数字骨科技术的发展及医工结合的深入,计算机辅助设计、个体化导板和内置物的设计,以及术中导航及机器人辅助操作,使HTO更加微创、简便及精准。
HTO适用人群有哪些?
合适的患者选择是HTO成功的关键因素,一般认为HTO适应于:患者年龄不超过65岁;膝关节活动度正常(屈曲畸形应小于10°);仅限于膝关节内侧间室骨性关节炎;屈曲挛缩畸形小于15°,胫骨内翻畸形大于5°;内侧胫骨近端角小于85°;外侧间室的软骨和半月板功能正常。
随着人们生活水平的提高、身体活力的持续、生命的延长,年龄已经没有明确的界限,70多岁的老年人只要身体状况良好,膝关节周围无明显骨质疏松,也可选择胫骨高位截骨手术。
术后恢复期多久?
HTO术后恢复期很快,一般术后第2天就可以借助助行器下地行走,早期需关注手术切口渗血及周围肿胀消退情况。完全康复与自身体质、营养、功能锻炼等也有很大关系,其中功能锻炼至关重要,一定不能偷懒。
HTO保留了骨关节炎患者自然的膝关节,最大程度地保留了关节的运动功能和舒适性,并且更符合我国患者的传统文化理念,相对于关节置换具有固有的优势。
专家名片

程飚
运动医学科、骨关节外科中心主任
主任医师、教授
博士和博士后研究生导师
专家门诊:周一、二上午
特需门诊:周四上午
现同济大学附属同济医院运动医学科、骨关节外科中心主任。上海医学会运动医学分会副主委,全国骨科关节镜学组委员,中国肩肘外科协作组创始委员,中华医学会运动医疗分会上肢学组委员,上海市医师协会关节镜学组副组长,上海市手外科专科委员,上海市运动医学会理事,中国矫形外科杂志编委,Arthroscopy中文版编委,上海市医疗事故专家鉴定委员会委。