作者:陶婷婷
小亿(化名)出生当日因常规先心筛查发现氧饱和度低,遂被转往复旦大学附属儿科医院救治。新生儿科急诊心超检查提示小亿患有复杂先心病,立即请求心外科进行会诊。“完全性大动脉转位伴室间隔完整、动脉导管无分流、卵圆孔未闭(1.8mm)”,出生仅1天的小亿检查报告让医护人员心都提到了嗓子眼。经与家长充分沟通,入院1.5小时后小亿转入心脏监护室。“气管插管、建立动静脉通路、心脏增强CT、备血、手术......”一切未雨绸缪。

解剖结构复杂,国内尚无报道
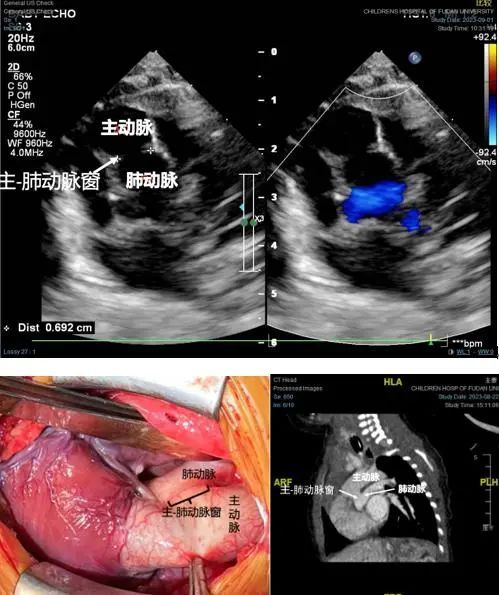
小亿转到儿科医院后,新生儿科医师第一时间为其进行全面体检并完善各项检查。从检查结果来看,明确诊断为完全性大动脉转位伴室间隔完整,动脉导管未见分流,体循环与肺循环的沟通仅仅靠1.8mm的卵圆孔实现,但是小亿没有严重的缺氧和低血压表现,这有什么玄机?
心外科叶明主任给出了答案:“因为他有一个很大的主-肺动脉窗,从心脏增强CT上来看,患儿的体循环和肺循环的血液通过主-肺动脉窗进行沟通混合,这是他能够存活下来并且症状不是非常严重的主要原因。”

“手术难度和风险极大,但这也是小亿存活的唯一机会。”叶明主任介绍,完全性大动脉转位合并主-肺动脉窗的病例在国内外鲜有报道,借鉴经验十分有限。针对这一罕见病例,为了最大程度确保安全,复旦儿科发挥国家儿童医学中心的学科优势,通过多学科会诊后确定手术方案、术后监护、术后ECMO(体外膜肺氧合)支持等治疗策略。经过充分沟通,小亿的家长同意手术方案。
手术奋战六小时
体外膜肺氧合等技术助患儿层层闯关
历经四小时,小亿的心脏畸形被完全矫治,心脏也恢复正常跳动,体外循环撤离时,小亿的心功能无法完全负担全身的血液循环,继续给予体外循环支持两个小时后,心脏功能改善仍不明显。考虑到患儿年龄小、解剖结构复杂、心功能不全,叶明主任当即决定给予ECMO辅助支持,使小忆的心功能有机会得到恢复。
成功脱离危险期,母子相聚感人心
3周的时间不长,小亿却已经历了多次手术与生死考验,最终在复旦大学附属儿科医院多学科团队的努力下,成功获得新生。再次见到孩子,小亿妈妈泪水夺眶而出:“感谢复旦儿科所有救治过宝宝的医护人员,你们的努力,给了宝宝和我们这个家庭第二次生命。”

经过一段时间的治疗,小亿正逐步康复中,不日即可出院。叶明主任介绍,“复杂先天性心脏病,尤其是像小亿这种罕见的心血管畸形患儿,不仅对手术医生是一种挑战,对麻醉、体外循环、重症监护也要求极高,小亿手术的成功离不开多学科团队的努力与合作。”复旦大学附属儿科医院复杂性先天性心脏病的治疗,有规范的多学科诊疗模式,心外科、心内科、麻醉科、重症监护室、新生儿科、放射影像科和心超室等多个学科共同参与疾病的诊疗,确定心血管畸形的复杂程度、制定手术方案和术后监护策略,使得这些孩子可以通过手术取得良好的治疗效果和远期预后,提高生活质量。
复旦大学附属儿科医院副院长翟晓文表示,复旦儿科十四五期间进行六大临床中心建设,出生缺陷中心建设是重点任务之一。儿科医院将会建立更高的诊治平台,创新更高水平的技术和培养更全面的人才团队,来服务好疑难复杂疾病患儿。