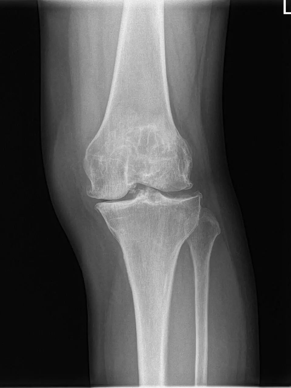
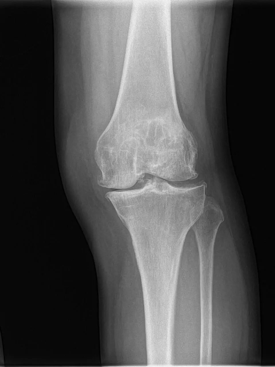
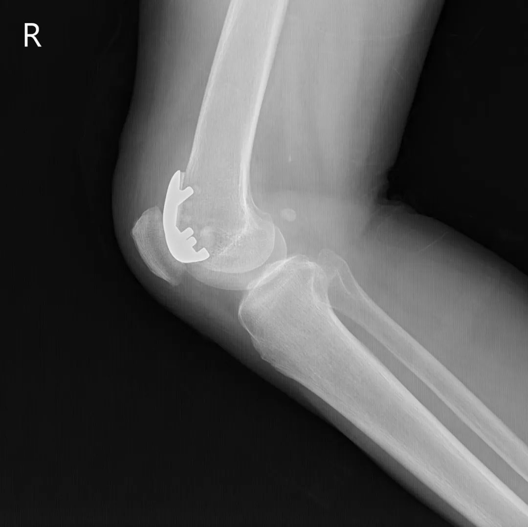
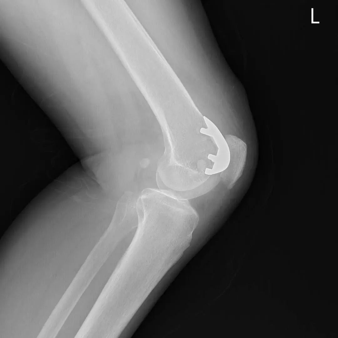
74岁的吕阿姨膝关节疼痛10余年,屈伸活动受限,外院就诊止痛药等保守治疗效果欠佳,拍片提示膝退行性骨关节炎。近日,她慕名来到上海市同济医院骨关节外科中心程飚主任门诊,程飚主任结合患者症状,影像学结果,体格检查,发现吕阿姨主要问题集中在膝关节内侧及髌股关节,膝关节外侧尚可。
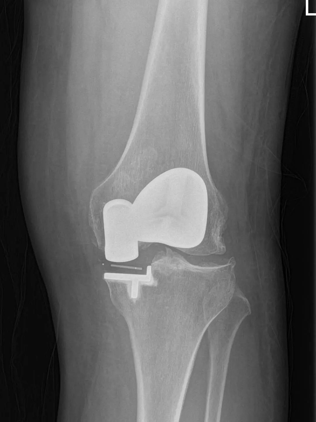
为尽可能保留吕阿姨关节,程飚主任对定对吕阿姨进行膝关节部分置换手术,包括膝关节内侧单髁置换,髌股关节表面置换,尽可能减少膝关节截骨量,尽快恢复膝关节功能。吕阿姨术后第一天就开始下地走路了,她表示膝关节疼痛明显缓解,膝关节的活动范围也明显增加了,对程主任精准的手术治疗表示衷心的感谢。




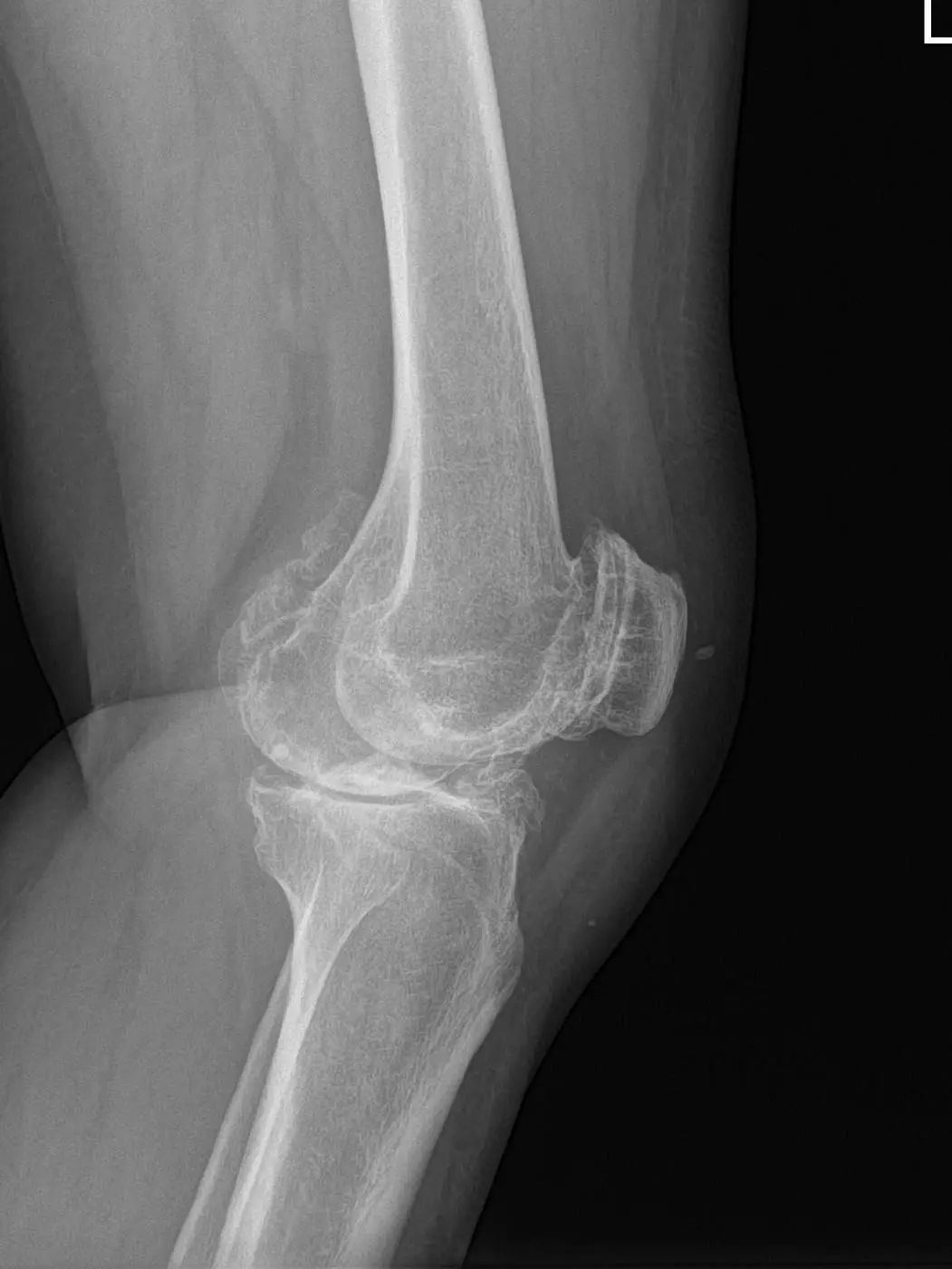
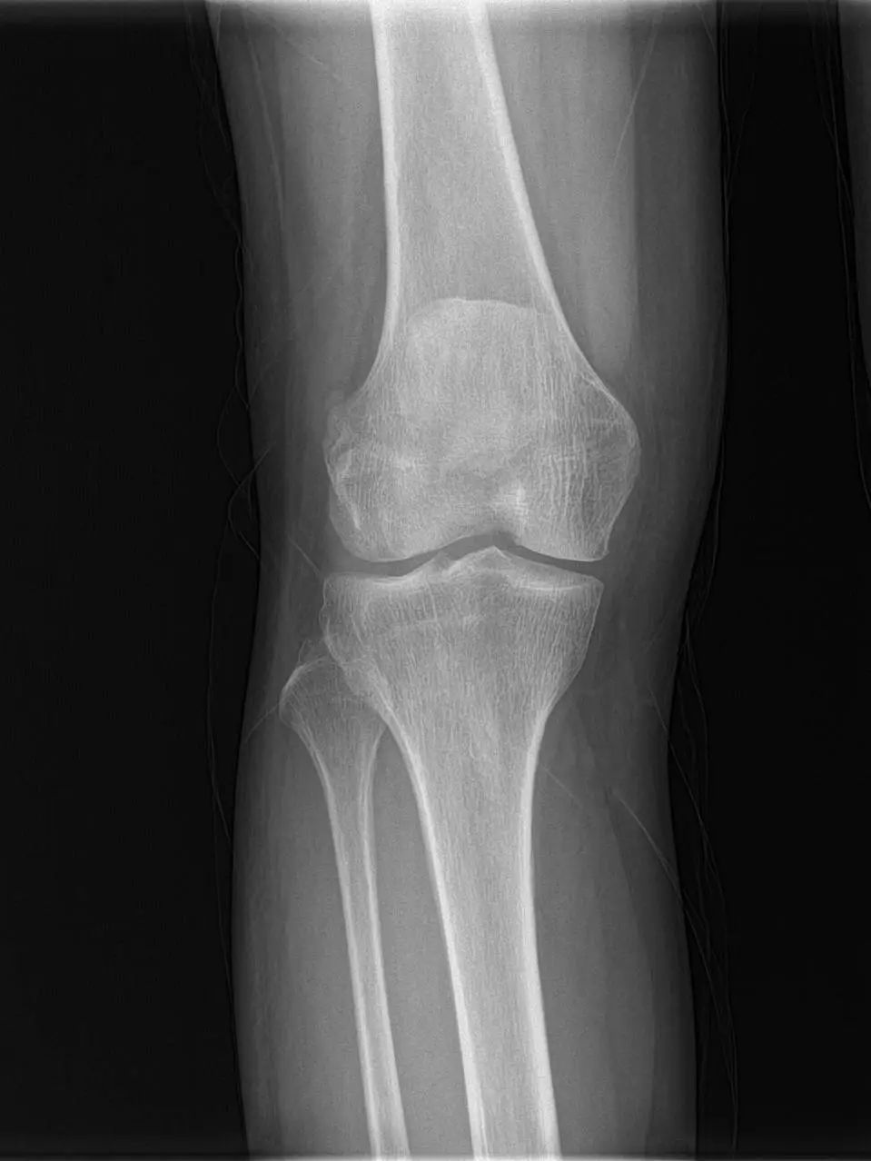
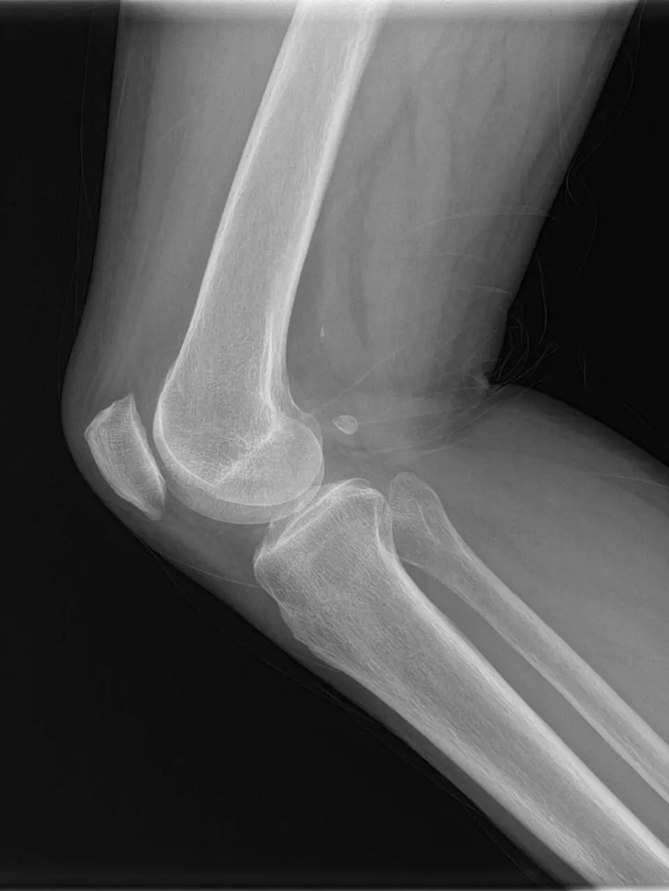
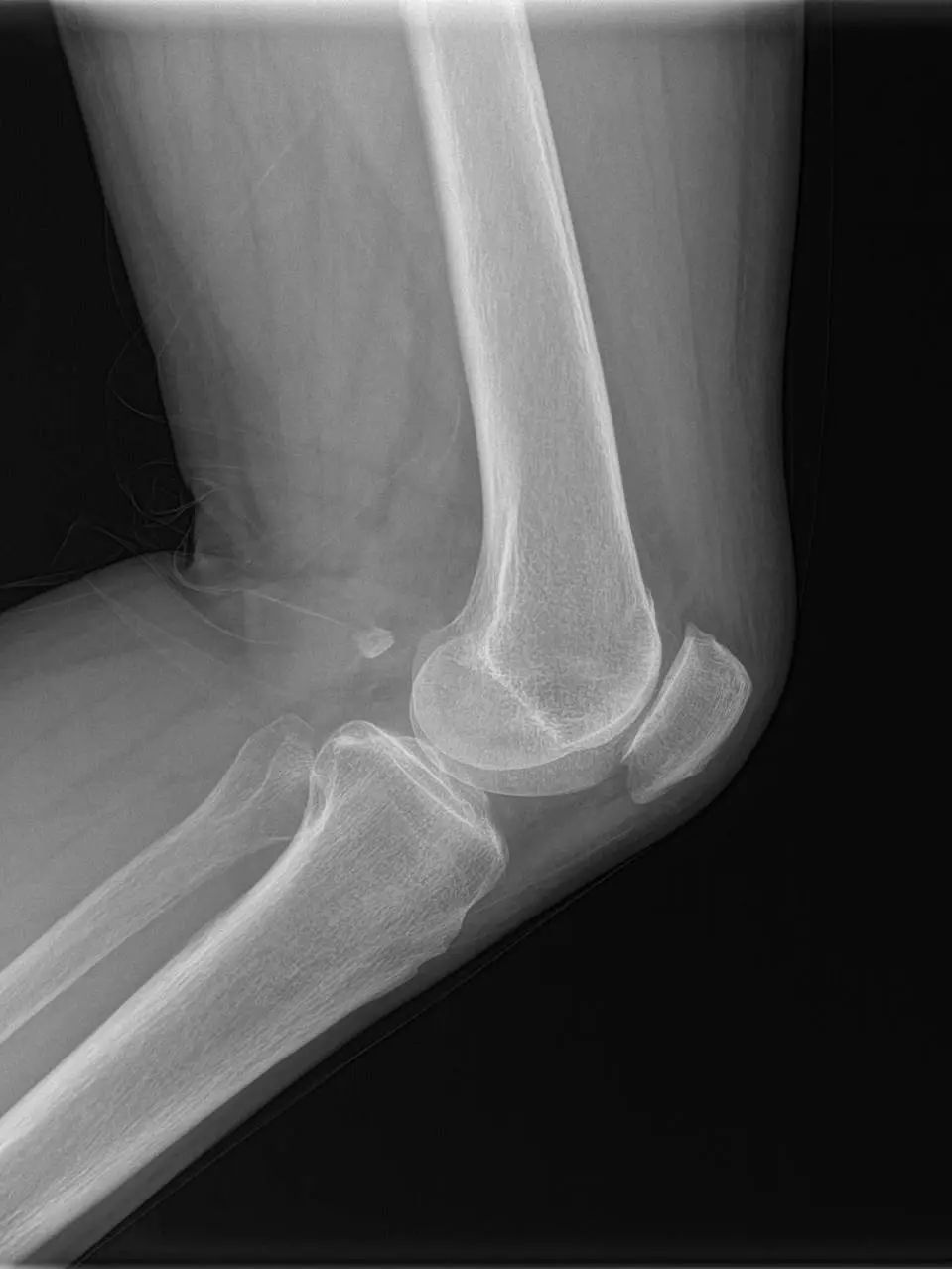
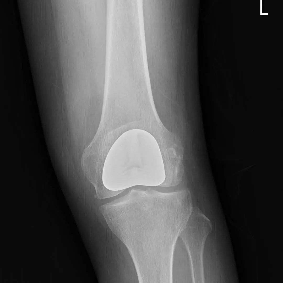
67岁的邵阿姨,双膝关节疼痛10余年,疼痛主要集中在屈伸膝关节时髌骨下。长期口服及外用药物治疗效果欠佳,反复加重,双膝的x线检查提示主要为髌股关节的退行性骨关节炎。程飚主任结合患者症状,影像学结果,体格检查,发现邵阿姨主要问题集中在髌股关节,膝关节间隙,内外侧髁,胫骨平台均可,为解决邵阿姨痛苦,尽可能保留关节,程飚主任决定对邵阿姨进行双侧膝关节的髌股关节表面置换,截骨量较少,邵阿姨第二天就能下地活动了,屈伸关节也不痛了,对手术疗效表示非常的满意。








部分膝关节表面置换小科普
1、什么是部分膝关节表面置换手术?
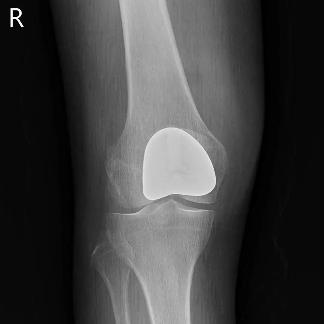
部分膝关节置换手术目前已是非常成熟的治疗方法,亦属于保膝治疗的一种。主要包括单髁置换,髌股关节置换。单髁置换主要把膝关节内侧髁或者外侧髁表面已经磨损的部分替换成金属的假体和高分子聚乙烯耐磨垫片。髌股关节置换主要把髌股关节表面已经磨损的部分替换成金属的假体。
2、部分膝关节表面置换手术优势
部分膝关节表面置换局限于膝关节病变部分,尽可能保留剩余健康部分关节,截骨量少,患者恢复快,损伤更小,完全保留了膝关节交叉韧带,本体感受更好。
3、哪些人群适合做部分膝关节表面置换手术?
主要为退行性骨关节炎的患者,病变局限于内侧或者外侧胫股关节,可行单髁置换;
病变局限于髌股关节的患者,可行髌股关节表面置换;
同时有髌股关节及单侧髁的病变,可行单髁+髌股关节表面置换。
4、膝关节假体能用多久?
膝关节假体的寿命不仅与假体本身的质量有关,而且和医生的技术、关节匹配程度、换膝后的生活习惯、有没有再次受到撞击以及自身基础疾病都会影响假体的使用寿命。在没有什么特殊意外的情况下,一般可使用10-20年的时间。
5、部分膝关节表面置换术后恢复期多久?风险大不大?
部分膝关节置换术后恢复期更快,一般术后第1天就可以借助助行器下地行走。完全康复与自身体质、营养、功能锻炼等也有很大关系,其中功能锻炼至关重要,一定不能偷懒。
任何手术都存在一定的风险,但医生都会做好风险评估,术后通过一系列护理措施及专业指导,术后并发症发生率比较低。
同济大学附属同济医院骨关节外科中心/运动医学科是医院的重点学科,是同济大学关节与运动医学硕士、博士学位授予点、中华医学会关节镜全国委员单位、上海市医学会运动医学副主委单位、关节镜与运动医学培训中心。在医院领导的支持下、在学科带头人程飚教授的带领下,精益求精,全力为患者做好服务。
目前主要工作涵盖人工关节置换、运动医学和关节镜微创手术、运动创伤性疾病。目前关节置换领域涵盖的病种包括股骨颈骨折、原发性骨关节炎、股骨头缺血坏死和髋臼发育不良合并骨关节炎、类风湿关节炎、强直性脊柱炎等;以及因髋、膝人工关节置换术后的并发症而失败如感染、假体松动、假体周围骨折等的翻修手术、肿瘤特殊假体置换等、膝关节单髁置换、肩关节置换、桡骨头置换等。运动医学和关节镜手术领域主要涉及膝关节、肩关节、肘、髋、踝等关节的运动损伤,包括肩袖损伤、肩峰撞击、冻结肩;半月板损伤、交叉韧带损伤、内外侧副韧带损伤、腘窝囊肿、骨关节炎;髋关节撞击、盂唇损伤;肘关节僵硬、游离体取出;距腓韧带损伤、跟腱炎、足底筋膜炎等等。
\ 专 家 名 片 /
程飚
骨关节外科中心/运动医学科
主任医师
教授 博士 博士生导师
专家门诊:周一、二上午
特需门诊:周四上午
现任上海市同济医院骨关节外科中心/运动医学科主任。上海医学会运动医学分会副主委,全国骨科关节镜学组委员,中国肩肘外科协作组创始委员,中华医学会运动医疗分会上肢学组委员,上海市医师协会关节镜学组副组长,上海市手外科专科委员,上海市运动医学会理事,中国矫形外科杂志编委,Arthroscopy中文版编委,上海市医疗事故专家鉴定委员会委。
网上预约挂号

专家门诊

特需门诊
图文 | 运动医学科 刘岑涛
编辑 | 赵思思 王北墨
校审 | 谢壮丽